Product Datasheet  
HSPE1/HSP10/CPN10 Rabbit mAb  
Catalog Number: 78506  
Technical:tech@swbio.com  
Information:info@swbio.com  
Description  
  • host_species:  
  • Rabbit
  • Amount:  
  • 100μgμg
  • Swiss-Prot No.:  
  • P61604
  • Form of Antibody:  
  • Storage:  
  • Store at -20℃. Avoid freeze / thaw cycles.|Buffer: PBS with 0.02% sodium azide,0.05% BSA,50% glycerol,pH7.3.
  • Immunogen:  
  • A synthesized peptide derived from human HSPE1/HSP10/HSPE1/HSP10/CPN10
  • reactivity:  
  • Human,Mouse,Rat
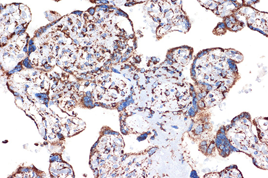
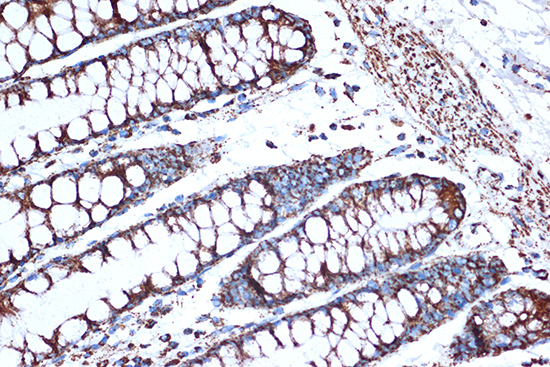
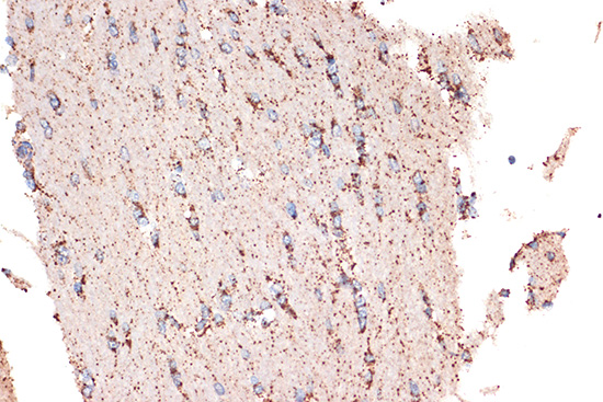
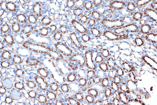
  • appl_detail:  
  • WB 1:500 - 1:2000
    IHC 1:50 - 1:200
    IF 1:50 - 1:200
  • other_names:  
  • CPN10, EPF, GROES, HSP10
  • Purification:  
  • Affinity purification
  • Specificity:  
  • Applications:  
  • WB,IHC,IF
  • Background:  
  • This gene encodes a major heat shock protein which functions as a chaperonin. Its structure consists of a heptameric ring which binds to another heat shock protein in order to form a symmetric, functional heterodimer which enhances protein folding in an ATP-dependent manner. This gene and its co-chaperonin, HSPD1, are arranged in a head-to-head orientation on chromosome 2. Naturally occurring read-through transcription occurs between this locus and the neighboring locus MOBKL3.[provided by RefSeq, Feb 2011]



 
© Signalway Biotechnology All Rights Reserved.