Product Datasheet  
SUN2 Rabbit mAb  
Catalog Number: 78501  
Technical:tech@swbio.com  
Information:info@swbio.com  
Description  
  • host_species:  
  • Rabbit
  • Amount:  
  • 100μgμg
  • Swiss-Prot No.:  
  • Q9UH99
  • Form of Antibody:  
  • Storage:  
  • Store at -20℃. Avoid freeze / thaw cycles.|Buffer: PBS with 0.02% sodium azide,0.05% BSA,50% glycerol,pH7.3.
  • Immunogen:  
  • A synthesized peptide derived from human SUN2
  • reactivity:  
  • Human,Mouse,Rat
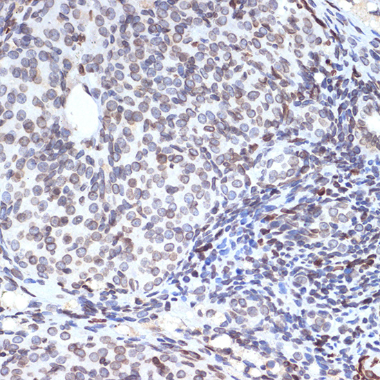
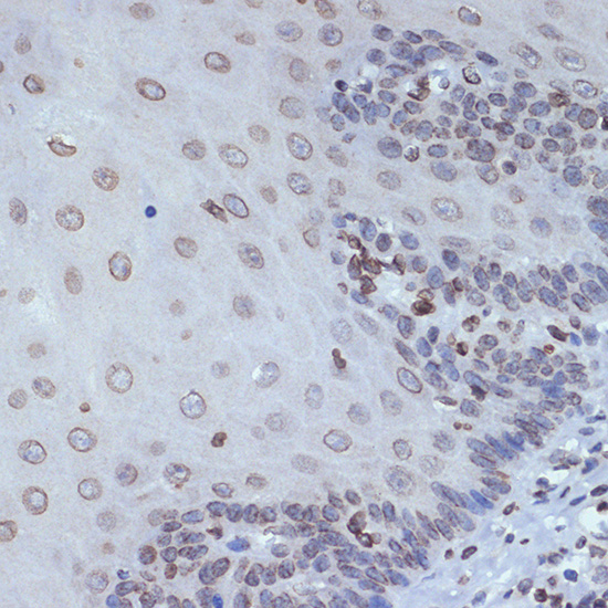
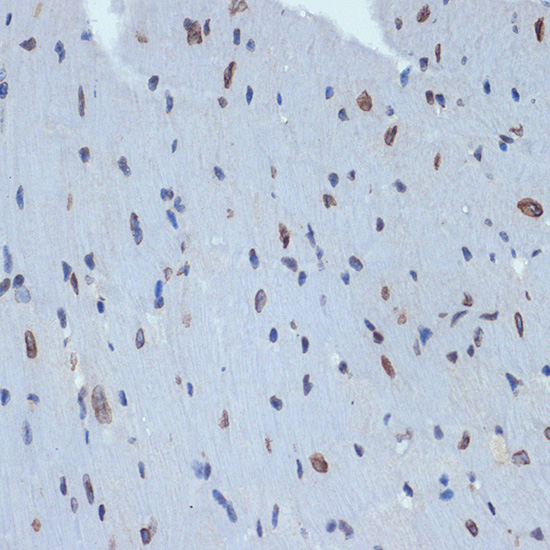
  • appl_detail:  
  • WB 1:500 - 1:2000
    IHC 1:50 - 1:200
  • other_names:  
  • UNC84B
  • Purification:  
  • Affinity purification
  • Specificity:  
  • Applications:  
  • WB,IHC
  • Background:  
  • SUN1 (MIM 607723) and SUN2 are inner nuclear membrane (INM) proteins that play a major role in nuclear-cytoplasmic connection by formation of a 'bridge' across the nuclear envelope, known as the LINC complex, via interaction with the conserved luminal KASH domain of nesprins (e.g., SYNE1; MIM 608441) located in the outer nuclear membrane (ONM). The LINC complex provides a direct connection between the nuclear lamina and the cytoskeleton, which contributes to nuclear positioning and cellular rigidity (summary by Haque et al., 2010 [PubMed 19933576]).[supplied by OMIM, Nov 2010]



 
© Signalway Biotechnology All Rights Reserved.