Product Datasheet  
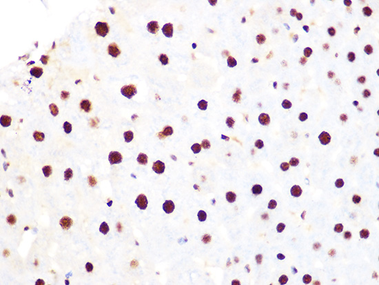
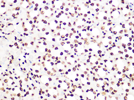
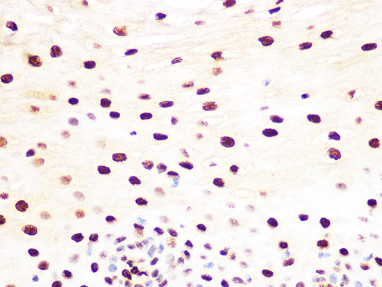
Histone H3.3 Rabbit mAb  
Catalog Number: 78005  
Technical:tech@swbio.com  
Information:info@swbio.com  
Description  
  • host_species:  
  • Rabbit
  • Amount:  
  • 100μgμg
  • Swiss-Prot No.:  
  • P84243
  • Form of Antibody:  
  • Storage:  
  • Store at -20℃. Avoid freeze / thaw cycles.|Buffer: PBS with 0.02% sodium azide,0.05% BSA,50% glycerol,pH7.3.
  • Immunogen:  
  • A synthesized peptide derived from human Histone H3.3
  • reactivity:  
  • Human,Mouse,Rat,Other (Wide Range)
  • appl_detail:  
  • WB 1:500 - 1:2000
    IHC 1:50 - 1:200
  • other_names:  
  • H3.3A, H3F3
  • Purification:  
  • Affinity purification
  • Specificity:  
  • Applications:  
  • WB,IHC
  • Background:  
  • Histones are basic nuclear proteins that are responsible for the nucleosome structure of the chromosomal fiber in eukaryotes. Two molecules of each of the four core histones (H2A, H2B, H3, and H4) form an octamer, around which approximately 146 bp of DNA is wrapped in repeating units, called nucleosomes. The linker histone, H1, interacts with linker DNA between nucleosomes and functions in the compaction of chromatin into higher order structures. This gene contains introns and its mRNA is polyadenylated, unlike most histone genes. The protein encoded is a replication-independent member of the histone H3 family. [provided by RefSeq, Jul 2008]



 
© Signalway Biotechnology All Rights Reserved.