Product Datasheet  
BMP6 Rabbit mAb  
Catalog Number: 77595  
Technical:tech@swbio.com  
Information:info@swbio.com  
Description  
  • host_species:  
  • Rabbit
  • Amount:  
  • 100μgμg
  • Swiss-Prot No.:  
  • P22004
  • Form of Antibody:  
  • Storage:  
  • Store at -20℃. Avoid freeze / thaw cycles.|Buffer: PBS with 0.02% sodium azide,0.05% BSA,50% glycerol,pH7.3.
  • Immunogen:  
  • A synthesized peptide derived from human BMP6
  • reactivity:  
  • Human,Mouse,Rat
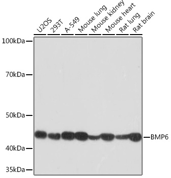
  • appl_detail:  
  • WB 1:500 - 1:2000
    IF 1:50 - 1:200
  • other_names:  
  • VGR, VGR1
  • Purification:  
  • Affinity purification
  • Specificity:  
  • Applications:  
  • WB,IF
  • Background:  
  • This gene encodes a secreted ligand of the TGF-beta (transforming growth factor-beta) superfamily of proteins. Ligands of this family bind various TGF-beta receptors leading to recruitment and activation of SMAD family transcription factors that regulate gene expression. The encoded preproprotein is proteolytically processed to generate each subunit of the disulfide-linked homodimer. This protein regulates a wide range of biological processes including iron homeostasis, fat and bone development, and ovulation. Differential expression of this gene may be associated with progression of breast and prostate cancer. Mutations in this gene may be associated with iron overload in human patients. [provided by RefSeq, Jul 2016]



 
© Signalway Biotechnology All Rights Reserved.