Product Datasheet  
CHD3 Rabbit mAb  
Catalog Number: 77406  
Technical:tech@swbio.com  
Information:info@swbio.com  
Description  
  • host_species:  
  • Rabbit
  • Amount:  
  • 100μgμg
  • Swiss-Prot No.:  
  • Q12873
  • Form of Antibody:  
  • Storage:  
  • Store at -20℃. Avoid freeze / thaw cycles.|Buffer: PBS with 0.02% sodium azide,0.05% BSA,50% glycerol,pH7.3.
  • Immunogen:  
  • A synthesized peptide derived from human CHD3
  • reactivity:  
  • Human,Mouse,Rat
  • appl_detail:  
  • WB 1:500 - 1:2000
    IHC 1:50 - 1:200
    IF 1:50 - 1:200
  • other_names:  
  • Mi-2a, Mi2-ALPHA, ZFH
  • Purification:  
  • Affinity purification
  • Specificity:  
  • Applications:  
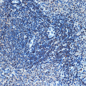
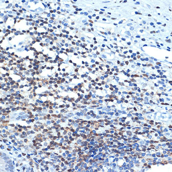
  • WB,IHC,IF
  • Background:  
  • This gene encodes a member of the CHD family of proteins which are characterized by the presence of chromo (chromatin organization modifier) domains and SNF2-related helicase/ATPase domains. This protein is one of the components of a histone deacetylase complex referred to as the Mi-2/NuRD complex which participates in the remodeling of chromatin by deacetylating histones. Chromatin remodeling is essential for many processes including transcription. Autoantibodies against this protein are found in a subset of patients with dermatomyositis. Three alternatively spliced transcripts encoding different isoforms have been described. [provided by RefSeq, Jul 2008]



 
© Signalway Biotechnology All Rights Reserved.