Product Datasheet  
BUB3 Rabbit mAb  
Catalog Number: 77399  
Technical:tech@swbio.com  
Information:info@swbio.com  
Description  
  • host_species:  
  • Rabbit
  • Amount:  
  • 100μgμg
  • Swiss-Prot No.:  
  • O43684
  • Form of Antibody:  
  • Storage:  
  • Store at -20℃. Avoid freeze / thaw cycles.|Buffer: PBS with 0.02% sodium azide,0.05% BSA,50% glycerol,pH7.3.
  • Immunogen:  
  • A synthesized peptide derived from human BUB3
  • reactivity:  
  • Human,Mouse,Rat
  • appl_detail:  
  • WB 1:500 - 1:2000
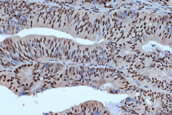
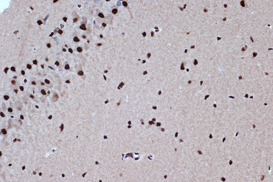
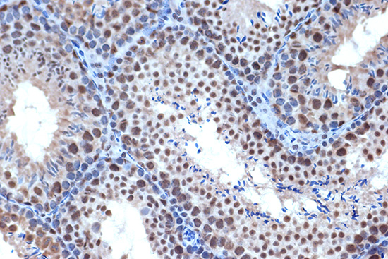
    IHC 1:50 - 1:200
    IF 1:50 - 1:200
  • other_names:  
  • BUB3L, hBUB3
  • Purification:  
  • Affinity purification
  • Specificity:  
  • Applications:  
  • WB,IHC,IF
  • Background:  
  • This gene encodes a protein involved in spindle checkpoint function. The encoded protein contains four WD repeat domains and has sequence similarity with the yeast BUB3 protein. Alternate transcriptional splice variants, encoding different isoforms, have been characterized. [provided by RefSeq, Jul 2008]



 
© Signalway Biotechnology All Rights Reserved.