Product Datasheet  
Syntenin Rabbit mAb  
Catalog Number: 77321  
Technical:tech@swbio.com  
Information:info@swbio.com  
Description  
  • host_species:  
  • Rabbit
  • Amount:  
  • 100μgμg
  • Swiss-Prot No.:  
  • O00560
  • Form of Antibody:  
  • Storage:  
  • Store at -20℃. Avoid freeze / thaw cycles.|Buffer: PBS with 0.02% sodium azide,0.05% BSA,50% glycerol,pH7.3.
  • Immunogen:  
  • A synthesized peptide derived from human Syntenin
  • reactivity:  
  • Human,Mouse,Rat
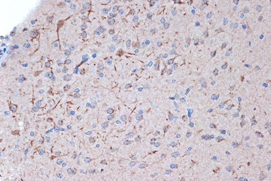
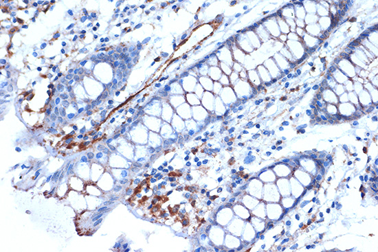
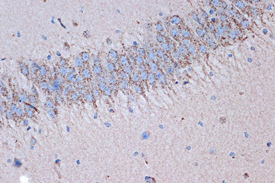
  • appl_detail:  
  • WB 1:500 - 1:2000
    IHC 1:50 - 1:200
    IF 1:50 - 1:200
  • other_names:  
  • MDA-9, MDA9, ST1, SYCL, TACIP18
  • Purification:  
  • Affinity purification
  • Specificity:  
  • Applications:  
  • WB,IHC,IF
  • Background:  
  • The protein encoded by this gene was initially identified as a molecule linking syndecan-mediated signaling to the cytoskeleton. The syntenin protein contains tandemly repeated PDZ domains that bind the cytoplasmic, C-terminal domains of a variety of transmembrane proteins. This protein may also affect cytoskeletal-membrane organization, cell adhesion, protein trafficking, and the activation of transcription factors. The protein is primarily localized to membrane-associated adherens junctions and focal adhesions but is also found at the endoplasmic reticulum and nucleus. Alternative splicing results in multiple transcript variants encoding different isoforms. Related pseudogenes have been identified on multiple chromosomes. [provided by RefSeq, Jan 2017]



 
© Signalway Biotechnology All Rights Reserved.