Product Datasheet  
VEGF-D Rabbit mAb  
Catalog Number: 77046  
Technical:tech@swbio.com  
Information:info@swbio.com  
Description  
  • host_species:  
  • Rabbit
  • Amount:  
  • 100μgμg
  • Swiss-Prot No.:  
  • O43915
  • Form of Antibody:  
  • Storage:  
  • Store at -20℃. Avoid freeze / thaw cycles.|Buffer: PBS with 0.02% sodium azide,50% glycerol,pH7.3.
  • Immunogen:  
  • Recombinant protein of human VEGF-D .
  • reactivity:  
  • Human,Mouse,Rat
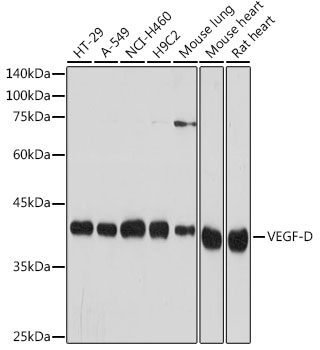
  • appl_detail:  
  • WB 1:500 - 1:2000
  • other_names:  
  • VEGFD; FIGF; VEGF-D; vascular endothelial growth factor D
  • Purification:  
  • Affinity purification
  • Specificity:  
  • Applications:  
  • WB
  • Background:  
  • The protein encoded by this gene is a member of the platelet-derived growth factor/vascular endothelial growth factor (PDGF/VEGF) family and is active in angiogenesis, lymphangiogenesis, and endothelial cell growth. This secreted protein undergoes a complex proteolytic maturation, generating multiple processed forms which bind and activate VEGFR-2 and VEGFR-3 receptors. This protein is structurally and functionally similar to vascular endothelial growth factor C. Read-through transcription has been observed between this locus and the upstream PIR (GeneID 8544) locus.



 
© Signalway Biotechnology All Rights Reserved.