1-832-868-1888
order@swbio.com

Catalog Number: |
77915 |
| other_names: | BDPLT16;BDPLT2;CD61;GP3A;GPIIIa;GT;Integrin beta 3;ITGB3 |
Amount: |
100μg |
| calculated_mw: | 110kDa |
| host_species: | Rabbit |
Price: |
$318 |
Swiss-Prot No: |
P05106 |
Form of Antibody: |
|
Storage/Stability: |
|
Immunogen: |
A synthesized peptide derived from human Integrin beta 3 (ITGB3/CD61) (ITGB3/CD61) |
Purification: |
Affinity purification |
Specificity/Sensitivity: |
|
Applications: |
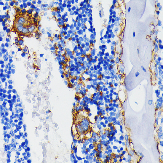
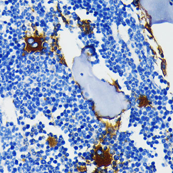
WB,IHC,IP |
Background: |
The ITGB3 protein product is the integrin beta chain beta 3. Integrins are integral cell-surface proteins composed of an alpha chain and a beta chain. A given chain may combine with multiple partners resulting in different integrins. Integrin beta 3 is found along with the alpha IIb chain in platelets. Integrins are known to participate in cell adhesion as well as cell-surface mediated signalling. [provided by RefSeq, Jul 2008] |
References: |
|
appl_detail: |
WB 1:500 - 1:2000 |
QUICK LINKS
Unique Antibodies Cancer/Apoptosis antibody Tag Antibody Neuroscience antibody MAP kinase antibody Secondary AntibodyCONTACT US
1-832-868-1888 order@swbio.com



GET IN TOUCH