1-832-868-1888
order@swbio.com

Catalog Number: |
77913 |
| other_names: | GPx-4, GSHPx-4, MCSP, PHGPx, SMDS, snGPx, snPHGPx |
Amount: |
100μg |
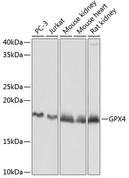
| calculated_mw: | 19kDa/22kDa |
| host_species: | Rabbit |
Price: |
$318 |
Swiss-Prot No: |
P36969 |
Form of Antibody: |
|
Storage/Stability: |
|
Immunogen: |
A synthesized peptide derived from human GPX4 |
Purification: |
Affinity purification |
Specificity/Sensitivity: |
|
Applications: |
WB,IP |
Background: |
The protein encoded by this gene belongs to the glutathione peroxidase family, members of which catalyze the reduction of hydrogen peroxide, organic hydroperoxides and lipid hydroperoxides, and thereby protect cells against oxidative damage. Several isozymes of this gene family exist in vertebrates, which vary in cellular location and substrate specificity. This isozyme has a high preference for lipid hydroperoxides and protects cells against membrane lipid peroxidation and cell death. It is also required for normal sperm development; thus, it has been identified as a 'moonlighting' protein because of its ability to serve dual functions as a peroxidase, as well as a structural protein in mature spermatozoa. Mutations in this gene are associated with Sedaghatian type of spondylometaphyseal dysplasia (SMDS). This isozyme is also a selenoprotein, containing the rare amino acid selenocysteine (Sec) at its active site. Sec is encoded by the UGA codon, which normally signals translation termination. The 3' UTRs of selenoprotein mRNAs contain a conserved stem-loop structure, designated the Sec insertion sequence (SECIS) element, that is necessary for the recognition of UGA as a Sec codon, rather than as a stop signal. Alternatively spliced transcript variants have been found for this gene. [provided by RefSeq, Oct 2016] |
References: |
|
appl_detail: |
WB 1:500 - 1:2000 |
QUICK LINKS
Unique Antibodies Cancer/Apoptosis antibody Tag Antibody Neuroscience antibody MAP kinase antibody Secondary AntibodyCONTACT US
1-832-868-1888 order@swbio.com



GET IN TOUCH