1-832-868-1888
order@swbio.com

Catalog Number: |
77731 |
| other_names: | CD49e;FNRA;VLA-5;VLA5A;Integrin alpha 5;ITGA5 |
Amount: |
100μg |
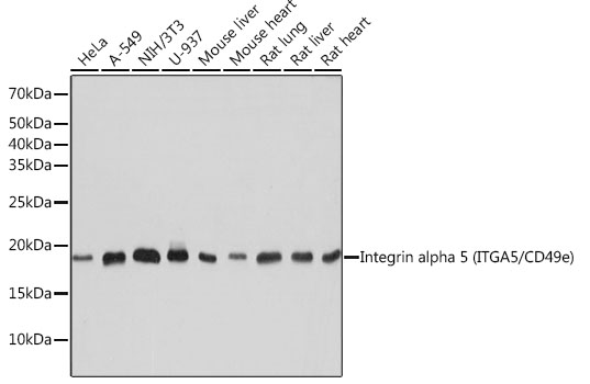
| calculated_mw: | 150kDa |
| host_species: | Rabbit |
Price: |
$318 |
Swiss-Prot No: |
P08648 |
Form of Antibody: |
|
Storage/Stability: |
|
Immunogen: |
A synthesized peptide derived from human Integrin alpha 5 (ITGA5/CD49e) (ITGA5/CD49e) |
Purification: |
Affinity purification |
Specificity/Sensitivity: |
|
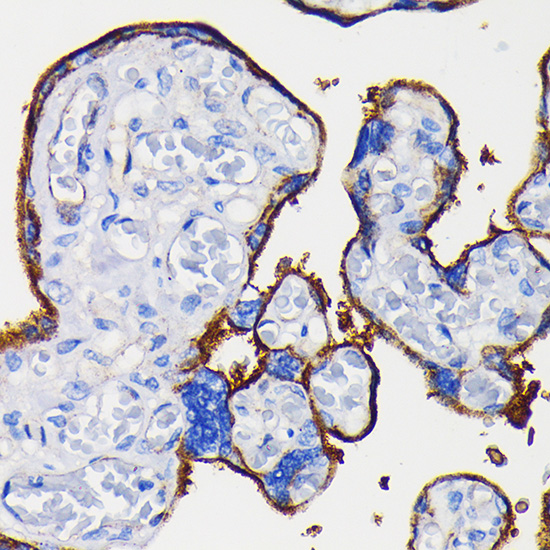
Applications: |
WB,IHC |
Background: |
The product of this gene belongs to the integrin alpha chain family. Integrins are heterodimeric integral membrane proteins composed of an alpha subunit and a beta subunit that function in cell surface adhesion and signaling. The encoded preproprotein is proteolytically processed to generate light and heavy chains that comprise the alpha 5 subunit. This subunit associates with the beta 1 subunit to form a fibronectin receptor. This integrin may promote tumor invasion, and higher expression of this gene may be correlated with shorter survival time in lung cancer patients. Note that the integrin alpha 5 and integrin alpha V subunits are encoded by distinct genes. [provided by RefSeq, Oct 2015] |
References: |
|
appl_detail: |
WB 1:500 - 1:2000 |
QUICK LINKS
Unique Antibodies Cancer/Apoptosis antibody Tag Antibody Neuroscience antibody MAP kinase antibody Secondary AntibodyCONTACT US
1-832-868-1888 order@swbio.com



GET IN TOUCH