1-832-868-1888
order@swbio.com

Catalog Number: |
77091 |
| other_names: | DAP1;GMP1;OFC10;PIC1;SENP2;SMT3;SMT3C;SMT3H3;UBL1;SUMO1;SUMO-1 |
Amount: |
100μg |
| calculated_mw: | 12kDa |
| host_species: | Rabbit |
Price: |
$318 |
Swiss-Prot No: |
P63165 |
Form of Antibody: |
|
Storage/Stability: |
|
Immunogen: |
A synthesized peptide derived from human Sumo 1 |
Purification: |
Affinity purification |
Specificity/Sensitivity: |
|
Applications: |
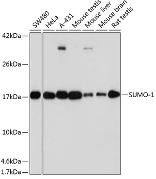
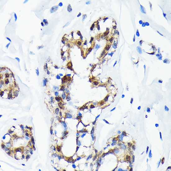
WB,IHC,IF |
Background: |
This gene encodes a protein that is a member of the SUMO (small ubiquitin-like modifier) protein family. It functions in a manner similar to ubiquitin in that it is bound to target proteins as part of a post-translational modification system. However, unlike ubiquitin which targets proteins for degradation, this protein is involved in a variety of cellular processes, such as nuclear transport, transcriptional regulation, apoptosis, and protein stability. It is not active until the last four amino acids of the carboxy-terminus have been cleaved off. Several pseudogenes have been reported for this gene. Alternate transcriptional splice variants encoding different isoforms have been characterized. [provided by RefSeq, Jul 2008] |
References: |
|
appl_detail: |
WB 1:500 - 1:2000 |
QUICK LINKS
Unique Antibodies Cancer/Apoptosis antibody Tag Antibody Neuroscience antibody MAP kinase antibody Secondary AntibodyCONTACT US
1-832-868-1888 order@swbio.com



GET IN TOUCH